骨折の治療
骨折の多くは落下や交通事故などの高エネルギー外傷が原因となります。しかし、最近の生活環境の変化から、猫や小型犬は室内のみで飼育される傾向にあり、高エネルギー外傷は減少していますが、椅子やテーブル、抱き抱えた状態から誤って落下して骨折してしまうケースも少なくありません。
様々な原因から起こる骨折に対応するために、治療方法は近年大きく変化しています。骨折の治療は、骨折の部位やタイプ(折れ方)によって様々な方法がありますが、プレート固定や創外固定、ピンニングなどが代表的で、これらの方法を単独もしくは適切に組み合わせることが必要になります。
骨折の治療は、解剖学的な整復(骨折前の角度や位置に戻すこと)、強固な固定、早期の機能回復を目標として行うことが重要です。
当院では、開放骨折や癒合不全などを含めた各種骨折に対応しており、固定力に優れたLocking systemを用いたプレート固定を第一選択としています。
骨折症例
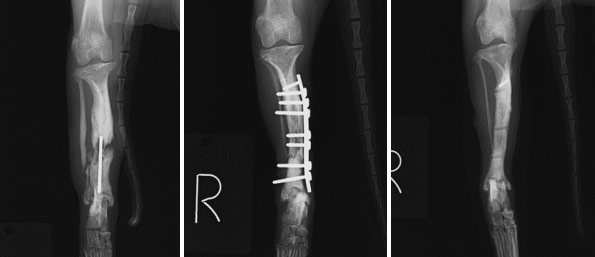
症例1イタリアン・グレイハウンド 5ヵ月齢 5.2kg
橈尺骨骨幹部横骨折 φ2.4mmロッキングプレート固定

症例2柴犬 10ヵ月齢 7.1kg
橈骨遠位成長板骨折 φ1.0/1.2mm キルシュナーワイヤーによるクロスピン法

症例3キャバリア 3ヵ月齢 4.6kg
上腕骨内顆骨折(関節内骨折) φ2.0mm Cortex Screw、キルシュナーワイヤー固定

症例4トイプードル 4ヵ月齢 2.2kg
中手骨骨折(第2,3,4,5中手骨) φ1.0mm ロッキングプレート固定

症例5ブルテリア 1歳4ヵ月齢 10.4kg
脛骨螺旋骨折 φ2.0/2.4mm 2枚のロッキングプレート固定

症例6MIX犬 1歳 3kg
腸骨体骨折 φ2.0mm Cortical Pearl System、リコンストラクションプレート固定

症例7トイプードル 6歳4ヵ月齢 3.3kg
橈尺骨骨折インプラント破綻(他院にて手術実施)
インプラントを全て抜去した後に、φ1.5mm2枚のロッキングプレート固定

症例8トイプードル 15歳5ヵ月齢 4.5kg
橈尺骨骨折インプラント破綻(他院にて手術実施)
インプラントを全て抜去した後に、φ2.0/2.4mm2枚のロッキングプレート固定
